BS.Trần Văn Dũng - Khoa Ngoại thần kinh
---
Chuyến du lịch Việt Nam của mẹ con du khách người Nga đã bất ngờ trở thành một cuộc chiến giành giật sự sống sau tai nạn giao thông nghiêm trọng tại Vũng Tàu. Sau khi được sơ cứu và phẫu thuật cấp cứu mở sọ giải ép tại Bệnh viện Bà Rịa, cả hai người bệnh đã được chuyển đến Bệnh viện Nhân dân 115 để tiếp tục điều trị chuyên sâu.
Những ngày hồi sức căng thẳng
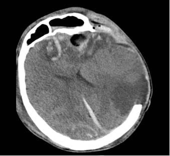
Người bệnh G.A. (nam, 28 tuổi) nhập viện trong tình trạng hôn mê sâu, phải thở máy qua nội khí quản. Hình ảnh CT scan sọ não ghi nhận tình trạng dập não xuất huyết rải rác, phù não lan tỏa, nguy cơ tử vong luôn ở mức cao. Người bệnh được điều trị tích cực tại Đơn vị Hồi sức Ngoại khoa – Khoa Gây mê Hồi sức.
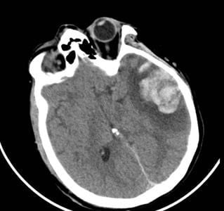
Cùng lúc đó, mẹ của anh là người bệnh G.N. (nữ, 53 tuổi) cũng nhập viện trong tình trạng lơ mơ, dập não thái dương lượng lớn. Sau khi cân nhắc kỹ lưỡng, các bác sĩ đã quyết định điều trị bảo tồn thay vì phẫu thuật để hạn chế tổn thương thứ phát. Quyết định này đã mang lại hiệu quả rõ rệt, người bệnh dần tỉnh táo và cải thiện chức năng ngôn ngữ. Sau 10 ngày điều trị tại Khoa Ngoại Thần kinh, bà G.N. đã hồi phục và được xuất viện.

Hình 1. Phim CT não người bệnh G.A. ngày 06/01/2026 cho thấy dập não xuất huyết nhiều nơi, phù não lan tòa dù đã được mở sọ giải ép tối đa.
Sự hồi phục kỳ diệu và tình người nơi đất khách
Đối với người con trai G.A., sau hơn 10 ngày hồi sức tích cực, anh bắt đầu có những đáp ứng đầu tiên với kích thích đau. Đến ngày thứ 20, người bệnh đã cai máy thở thành công, tự mở mắt và được chuyển về Khoa Ngoại Thần kinh tiếp tục theo dõi.
Trong suốt quá trình điều trị, do hai người bệnh không có thân nhân tại Việt Nam và gặp rào cản ngôn ngữ, đội ngũ nhân viên y tế đã thay nhau chăm sóc từ bữa ăn, vệ sinh cá nhân đến động viên tinh thần. Phòng Chỉ đạo tuyến - Công tác xã hội cũng đã chủ động phối hợp cùng Đại sứ quán Liên bang Nga để kết nối với gia đình hai người bệnh tại quê nhà.

Hình 2: Phim CT scan ngày 06/01/2026 người bệnh G.N. cho thấy vùng dập não xuất huyết thái dương lớn kèm phù tổ chức xung quanh.
Cuộc đoàn tụ đẫm nước mắt
Mười ngày sau khi xuất viện, bà G.N. quay trở lại khoa để thăm con. Cuộc gặp gỡ sau quãng thời gian dài đối mặt với sinh tử khiến tất cả những người chứng kiến không khỏi xúc động. Bà G.N. gửi lời cảm ơn chân thành đến tập thể y bác sĩ Bệnh viện Nhân dân 115: "Cảm ơn các bạn đã tận tâm giúp đỡ mẹ con tôi vượt qua giai đoạn khó khăn nhất nơi đất khách quê người".
Hiện tại, tình trạng của hai mẹ con đã ổn định và đang hoàn tất các thủ tục để trở về Nga tiếp tục hành trình phục hồi chức năng.