PGS.TS.BS Trương Hoàng Minh
----
Ngày 16 tháng 10 năm 2025, Bệnh viện Nhân Dân 115 đã phẫu thuật nội soi điều trị thành công khối phình rò động tĩnh mạch thận khổng lồ cho người bệnh nữ 45 tuổi đồng thời bảo tồn chức năng thận thành công, thời gian nằm viện sau mổ là 3 ngày. Cách 1 tháng người bệnh thấy căng tức vùng hông lưng trái mỗi khi làm việc nặng, tiểu máu, đi khám ở một bệnh viện tại TP.HCM cho siêu âm và chụp CT-Scan phát hiện túi phình khổng lồ của thông động tĩnh mạch thận trái, được tư vấn mổ hở và nguy cơ có thể phải cắt thận trái. Người bệnh không đồng ý với phương án kể trên nên đã tìm đến Bệnh viện Nhân Dân 115 với mong muốn có một giải pháp điều trị khác.

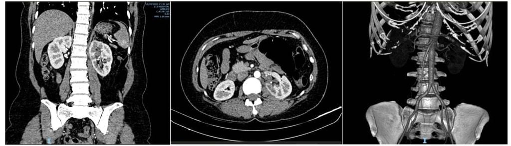
Hình 1. Hình CT-Scan trước mổ (khối phình động mạch thận lớn bên trái, mũi tên trắng)
Qua thăm khám và hỏi bệnh sử thì ghi nhận người bệnh không chấn thương hay từng can thiệp ngoại khoa trước đây, làm thêm các xét nghiệm hình ảnh chuyên sâu thì được chẩn đoán phình thông động tĩnh mạch thận trái bẩm sinh. Với mục tiêu bảo tồn thận, đảm bảo an toàn và xâm lấn tối thiểu trên người bệnh các bác sĩ của Bệnh viện Nhân Dân 115 gồm hai chuyên khoa Ngoại niệu - ghép thận và Đơn vị Can thiệp mạch máu - Khoa Chẩn đoán hình ảnh đã hội chẩn. Với trường hợp này người bệnh có kích thước khối phình rất lớn 6x6x5 cm kèm hình thái phức tạp, việc nút mạch bằng can thiệp mạch máu thận là không an toàn và khả thi. Để đảm bảo an toàn và tổn thương xâm lấn ít nhất cho người bệnh, PGS.TS.BS.Trương Hoàng Minh (Trưởng khoa Ngoại niệu - Ghép thận) đã đưa ra phương pháp phẫu thuật nội soi sau phúc mạc nhằm loại bỏ túi phình và bảo tồn thận.
Với trường hợp dị dạng phình thông động tĩnh mạch thận (Aneurismal Renal Arterioveneus Malformation: ARAVM) lớn và giải phẫu phức tạp không thuận lợi cho can thiệp nội mạch, phẫu thuật ít xâm lấn qua đường sau phúc mạc cho phép kiểm soát cuống thận trực tiếp, xử trí triệt để túi phình–rò và bảo tồn chức năng thận được ưu tiên. Tuy nhiên, với phẫu thuật nội soi vẫn tiềm ẩn nguy cơ thất bại, có thể phải chuyển mổ mở và đôi khi phải thực hiện lấy quả thận ra ngoài sửa chữa mạch máu và đưa lại cơ thể người bệnh (ghép thận tự thân). Khoa Ngoại niệu - Ghép thận cùng các chuyên khoa khác đã chuẩn bị sẵn sàng các phương án có thể xảy ra.
Ca phẫu thuật kéo dài 4 giờ, trong mổ, đi đường nội soi sau phúc mạc, kiểm soát cuống thận, bóc tách và cắt túi phình, đóng luồng thông động mạch và tĩnh mạch thận trái, tái lập lưu thông mạch máu thận . Hậu phẫu, người bệnh hồi phục nhanh, không biến chứng, chức năng thận ổn định, ra viện ngày thứ 3.

Hình 2. Ê kíp đang phẫu thuật cho người bệnh
Người bệnh tái khám sau 1 tháng hoàn toàn khỏe mạnh, không đau, 3 lỗ đặt Trocar nội soi lành sẹo, chụp CT-Scan có tiêm thuốc cản quang không còn hình ảnh túi phình rò động tĩnh mạch, xét nghiệm chức năng thận bình thường.

Hình 3. Hình CT-Scan sau 1 tháng (dựng hình mạch máu thận không còn túi phình động mạch)
Hiện nay trên thế giới tỷ lệ dị dạng phình thông động tĩnh mạch thận (ARAVM) rất hiếm gặp, theo y văn tỉ lệ bệnh chỉ chiếm khoảng 0.04%. Khối phình khổng lồ thông động tĩnh mạch thận nếu không chủ động điều trị sẽ nguy cơ vỡ (có thể tự vỡ hoăc khi có chấn thương), đe dọa tính mạng cho người bệnh.
Điều trị ARAVM hiện nay ưu tiên hàng đầu là can thiệp nội mạch vì ít xâm lấn, tỉ lệ thành công kỹ thuật cao, biến chứng thấp, nhiều nghiên cứu gần đây khẳng định embolic agents (coil, NBCA, Onyx) hiệu quả với ARAVM. Tuy nhiên đối với túi phình rò động tĩnh mạch khổng lồ thì không thể thực hiện được (ví dụ: tổn thương lớn, lưu lượng cao, nhiều nhánh cấp–hồi lưu phức tạp, gần rốn thận, nguy cơ mất nhánh nuôi nhu mô nếu bít mạch). Trong trường hợp này, phẫu thuật là chỉ định tối ưu, có thể qua ngả nội soi, hay mổ mở cắt túi phình và sửa chữa mạch máu thận, đôi khi phải cắt toàn bộ thận hoặc cắt thận bán phần. Tại Bệnh viện 108 báo cáo 1 trường hợp tương tự, cắt thận đưa ra ngoài cơ thể, cắt bỏ túi phình sửa chữa lại mạch máu sau đó đưa vào cơ thể lại cho người bệnh (còn gọi là ghép thận tự thân). Tuy nhiên, với kỹ thuật ghép thận tự thân có chi phí cao, nguy cơ suy giảm chức năng thận. Bệnh viện Nhân Dân 115 đã thực hiện ghép thận từ năm 2004 đến nay đã trở thành phẫu thuật thường quy tại bệnh viện. Bệnh viện cũng đã thực hiện ghép thận tự thân cho các trường hợp hẹp động mạch thận do Takayashu hay do chấn thương.
Với trường hợp này, chúng tôi ưu tiên phẫu thuật nội soi cắt túi phình, sửa chữa mạch máu thận qua nội soi sau phúc mạc sẽ giúp người bệnh sớm hồi phục (đi hoàn toàn ngoài phúc mạc). Chúng tôi thực hiện khống chế động mạch thận với thời gian thiếu máu nóng 15 phút nhằm bảo tồn tối đa chức năng thận. Đây là trường hợp đầu tiên thực hiện thành công cắt túi phình khổng lồ thông động tĩnh mạch thận tại Việt Nam. Qua trường hợp này, chúng tôi khuyến cáo người bệnh khi có triệu chứng bất thường về đường tiết niệu cần đi khám ở các cơ sỏ có chuyên khoa niệu và điều trị kịp thời.