Nấm - kẻ giấu mặt nguy hiểm trong cơ thể người bệnh

Khoa Giải phẫu bệnh

----

Câu chuyện thực tế từ khoa Giải phẫu bệnh Bệnh viện Nhân dân 115.

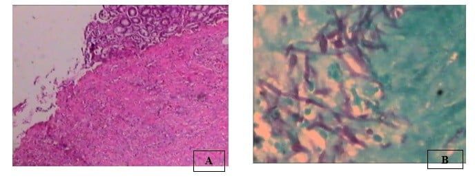
Vào tháng 6/2025, bệnh nhân nam 67 tuổi đến khám vì đau thượng vị kéo dài. Sau nội soi dạ dày thực quản, bác sĩ phát hiện ổ viêm loét và lấy mẫu sinh thiết gửi Giải phẫu bệnh. Trên mẫu nhuộm HE (Hình A) ghi nhận bờ ổ loét và có vùng nghi nhiễm nấm, sau đó nhuộm PAS cho thấy có nấm xâm lấn (Hình B), giúp đội ngũ lâm sàng có hướng điều trị đúng lúc và can thiệp kịp thời, tránh diễn tiến nặng. Trường hợp này cho thấy rằng phát hiện bằng mô bệnh học có thể định hướng điều trị và cải thiện tiên lượng cho người bệnh.    

       Hình: Nấm trên bề mặt ở loét qua nhuộm HE (A) và PAS (B)

1. Nấm là gì?

Nấm là nhóm sinh vật thuộc một loại riêng, không phải vi khuẩn và không phải virus. Chúng tồn tại khắp nơi trong không khí, đất và nước. Tuy nhiên khi hàng rào bảo vệ cơ thể bị suy yếu bởi các nguyên nhân như đái tháo đường kiểm soát kém, dùng corticoid, hóa trị, đặt catheter, nằm ICU hoặc dùng kháng sinh kéo dài,… Tất cả các yếu tố trên có thể trở thành yếu tố thuận lợi cho nấm phát triển

Nấm có thể xuất hiện ở bất kì đâu trong cơ thể, thường ở da tuy nhiên cũng có thể ở những vị trí khác như não, màng não, mắt, xoang, miệng, tim, phổi, gan đại tràng, vùng sinh dục,…

Nấm có thể bị bỏ sót trong chẩn đoán do:

  • Triệu chứng dễ nhầm với nhiễm khuẩn hoặc virus: sốt, mệt, ho, đau đầu.
  • Một số nấm khó nuôi cấy và mẫu bệnh phẩm có ít nấm.
  • Dùng thuốc kháng sinh, corticoid ,... che lấp triệu chứng hoặc gây kết quả xét nghiệm nấm âm tính giả.
  • Hình ảnh học không đặc hiệu; mẫu đờm hoặc xoang có thể chỉ là tạp nhiễm.

2. Tại sao phát hiện sớm giúp ích người bệnh?

  • Giảm tử vong và biến chứng
  • Thuốc thấm tốt hơn khi mô chưa hoại tử; can thiệp sớm giúp bảo tồn chức năng cơ quan.
  • Rút ngắn thời gian nằm viện, giảm chi phí
  • Xác định nấm sớm qua GPB/xét nghiệm giúp lâm sàng định hướng điều trị

3. Vai trò của giải phẫu bệnh trong chẩn đoán và điều trị

  • Xác định chắc chắn nhiễm nấm bằng quan sát trực tiếp vi thể, phân biệt với viêm do nguyên nhân khác.
  • Ở các trường hợp nghi ngờ nhiễm nấm có thể phát biện bằng các phương pháp nhuộm đặc hiệu (GMS, PAS,…) để gợi ý nhóm nấm và hướng điều trị.
  • Đánh giá mức độ tổn thương: xác định xâm lấn mạch, hoại tử, lan rộng
  • Trong trường hợp cần thiết kết quả GPB có thể định hướng các xét nghiệm khác như nuôi cấy nấm, PCR và kháng nấm đồ để hỗ trợ lâm sàng

Bên cạnh đó cũng có những khó khăn trong quá trình chẩn đoán trên mô bệnh học:

  • Nấm trên mẫu mô quá ít, không đủ để chẩn đoán
  • Do tạp nhiễm ở môi trường xung quanh
  • Do mô hoại tử ảnh hưởng đến việc quan sát được hình ảnh của nấm trên vi thể

4. Phòng ngừa - việc nhỏ nhưng hiệu quả lớn

  • Kiểm soát tốt bệnh nền như đái tháo đường.
  • Tránh tự ý dùng corticoid và kháng sinh khi không có chỉ định.
  • Giữ vùng da khô thoáng, không dùng chung đồ cá nhân.
  • Tái khám đúng hẹn hoặc khi có những dấu hiệu bất thường
Ghép da thành công cho người bệnh nữ, bị hoại tử vùng mặt sau tai nạn giao thông
Cái răng cái tóc là gốc con người
An toàn, thẩm mỹ và bền vững: ưu điểm vượt trội của ghép sọ nhân tạo bằng kỹ thuật 3D tại Bệnh viện Nhân dân 115
Suy thượng thận mạn do thuốc: Cảnh giác lạm dụng corticoid và thuốc không rõ nguồn gốc
Rượu bia và nguy cơ tiềm tàng tới sức khỏe
Đừng để một phút chủ quan trong lao động đổi lấy cả đời trên giường bệnh
LUPUS – Hiểu đúng để chung sống hoà bình
Màu áo trắng lặng thầm – Viết tiếp những Mùa Xuân hồi sinh
Hồi sức cấp cứu, trượt băng nghệ thuật  và Người Thầy thuốc trẻ
Sinh hoạt chuyên môn Khối Thận niệu – Cập nhật chuẩn điều trị quốc tế năm 2026 cho người có bệnh thận mạn
Khởi đầu năm mới Bính Ngọ 2026: Bệnh viện Nhân dân 115 quyết tâm đoàn kết – đột phá – vươn tầm
Social Zalo Zalo Social Facebook Facebook Social Youtube Youtube