5 giờ sáng, ngày 24/2 Khoa cấp cứu Bệnh viện Nhân dân 115 tiếp nhận người bên nam 17 tuổi nhập viện vì bị ngạt khói gây suy hô hấp trong một vụ hoả hoạn.
Người bệnh nhập viện trong tình trạng suy hô hấp, hốt hoảng, thở nhanh, oxy máu giảm, nguy cơ suy hô hấp tiến triển.
Ngay khi nhập viện bệnh nhân được hỗ trợ hô hấp, nội soi phế quản ghi nhận niêm mạc khí quản viêm đỏ, nhiều muội than bám thành phế quản, gây bít tắc phế quản, đường thở viêm bỏng, phù nề.

Hình ảnh nội soi phế quản ghi nhận khói đen và tổn thương đường hô hấp

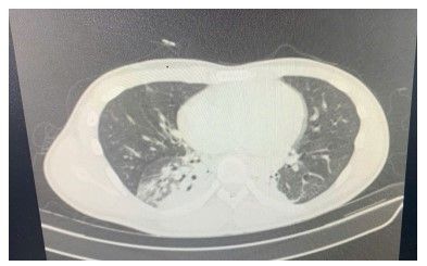
Hình ảnh chụp CT-Scan viêm đông đặc thuỳ phổi
Các Bác sĩ tiến hành bơm rửa hút bớt muội than trong lòng phế quản, sử dụng kháng sinh phù hợp theo phác đồ điều trị. Sau 4 ngay điêu trị bệnh nhân diễn tiến tốt, không còn suy hô hấp, nội soi kiểm tra lòng phế quản sạch, giảm viêm, giảm phù nề.
Bệnh viện Nhân dân 115