BS. Phạm Ngọc Huy
Khoa Điều trị theo yêu cầu – Y học thể thao
----
Chuyến du lịch Việt Nam của anh O. G. (sinh năm 1989, quốc tịch Nga) đã bất ngờ gián đoạn bởi một tai nạn giao thông nghiêm trọng. Đêm ngày 10/01/2026, anh được đưa vào Bệnh viện Nhân Dân 115 trong tình trạng đa chấn thương, khó thở nhiều, đau ngực phải kèm đau vai phải, biểu hiện suy hô hấp tiến triển.
Xử trí cấp cứu kịp thời trong đêm
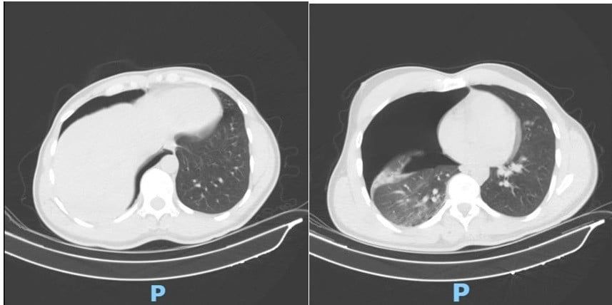
Ngay khi nhập viện, người bệnh được thực hiện CT scan lồng ngực – mạch máu khẩn cấp, ghi nhận:
- Tràn khí màng phổi phải lượng nhiều, chèn ép phổi gây khó thở
- Gãy cung bên xương sườn 2, 3, 4 phải
- Gãy phức tạp 1/3 giữa xương đòn phải, di lệch nhiều, có mảnh rời

Hình 1. Phim CT scan lồng ngực sáng ngày nhập viện ghi nhận tràn khí màng phổi phải lượng nhiều
Trước nguy cơ suy hô hấp tiến triển, vào 5 giờ sáng cùng ngày, ê-kíp Khoa Phẫu thuật Tim – Lồng ngực – Mạch máu đã khẩn trương tiến hành phẫu thuật đặt dẫn lưu màng phổi phải cấp cứu do TS.BS Đồng Đức Hưng trực tiếp thực hiện. Thủ thuật được tiến hành nhanh chóng, chính xác, giúp phổi nở lại tốt, cải thiện rõ rệt tình trạng hô hấp của người bệnh chỉ sau vài giờ.
Phối hợp liên khoa – điều trị toàn diện
Sau 2 ngày hậu phẫu tại khoa Phẫu thuật tim - Lồng ngực mạch máu, tình trạng hô hấp ổn định, người bệnh được rút ống dẫn lưu và chuyển sang Khoa Điều trị theo yêu cầu – Y học thể thao để tiếp tục xử trí chấn thương xương đòn.
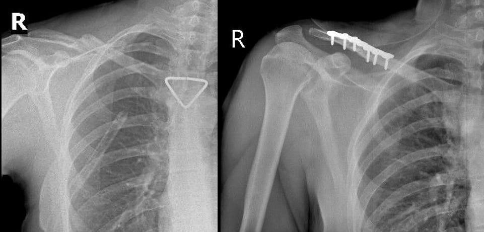
Tại đây, sau khi hội chẩn cùng bác sĩ gây mê hồi sức, người bệnh được đánh giá đủ điều kiện an toàn để thực hiện cuộc phẫu thuật thứ hai: kết hợp xương đòn phải bằng nẹp vít. Ca mổ được thực hiện bởi ê-kíp: BS.CKII Trần Văn Dương, BS Phạm Ngọc Huy.
Phẫu thuật diễn ra thuận lợi, nẹp vít được đặt vững chắc, trục xương phục hồi giải phẫu tốt. Sau mổ, người bệnh hồi phục nhanh, vận động tay phải cải thiện từng ngày và xuất viện sau 4 ngày điều trị tại khoa trong tình trạng sức khỏe ổn định.

Hình 2. Hình ảnh Xquang trước và sau mổ. Nẹp vít được đặt vững chắc, trục xương phục hồi giải phẫu tốt
Sự hài lòng của du khách quốc tế
Dù gặp rào cản ngôn ngữ và xa gia đình, anh O.G luôn nhận được sự hỗ trợ tận tình từ đội ngũ y bác sĩ và điều dưỡng. Từ khâu giải thích tình trạng bệnh, chăm sóc hậu phẫu đến hướng dẫn vận động phục hồi chức năng, mọi quy trình đều được thực hiện chu đáo, chuyên nghiệp.
Trước khi xuất viện, người bệnh đã bày tỏ sự hài lòng và gửi lời cảm ơn đến tập thể nhân viên y tế Bệnh viện Nhân Dân 115. Anh chia sẻ rằng mình ấn tượng với tốc độ cấp cứu, sự phối hợp nhịp nhàng giữa các chuyên khoa và tinh thần trách nhiệm của đội ngũ bác sĩ Việt Nam.
Hình ảnh bệnh viện trong mắt bạn bè quốc tế
Trường hợp của anh O.G một lần nữa cho thấy năng lực cấp cứu – phẫu thuật – hồi phục chức năng toàn diện của Bệnh viện Nhân Dân 115, đồng thời thể hiện tinh thần nhân văn và sự chuyên nghiệp trong chăm sóc người bệnh quốc tế. Không chỉ điều trị hiệu quả về mặt chuyên môn, bệnh viện còn để lại ấn tượng tốt đẹp về thái độ tận tâm và chất lượng dịch vụ y tế, góp phần lan tỏa hình ảnh y tế Việt Nam thân thiện và đáng tin cậy trong mắt bạn bè thế giới.