Khoa Ngoại tổng hợp
Mới đây, các bác sĩ Khoa Ngoại Tổng hợp đã tiếp nhận và điều trị thành công một trường hợp áp xe ổ bụng do di vật xương cá – một tình huống lâm sàng hiếm gặp nhưng có thể nguy hiểm đến tính mạng nếu chậm trễ.
Câu chuyện người bệnh
Người bệnh nam, 54 tuổi, nhập viện trong tình trạng đau bụng vùng quanh rốn + hạ vị kéo dài nhiều ngày, sốt cao, mệt mỏi, chán ăn. Trước đó, người bệnh chỉ nghĩ do rối loạn tiêu hóa nên tự điều trị tại nhà nhưng tình trạng ngày càng nặng hơn.
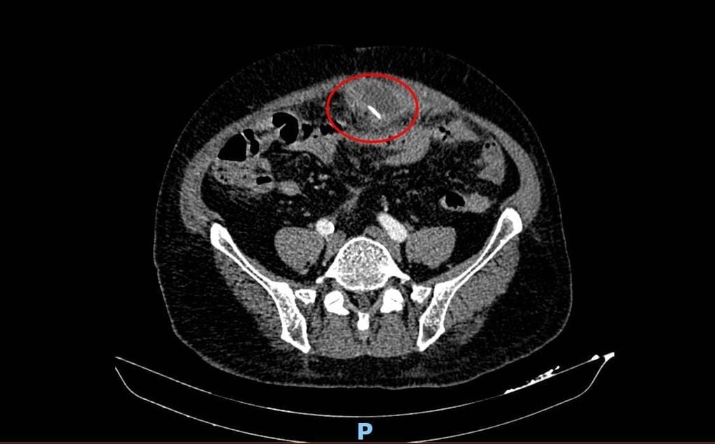
Tại bệnh viện, kết quả CT scan ổ bụng ghi nhận hình ảnh ổ áp xe vùng bụng ngang – dưới rốn. Điều đặc biệt, bác sĩ còn phát hiện một cấu trúc đậm độ cao dạng dị vật sắc nhọn bên trong ổ áp xe.

Ca phẫu thuật “giải cứu” bất ngờ
Sau khi hội chẩn, ê-kíp phẫu thuật do ThS.Bs.CKII Phan Lương Huy quyết định phẫu thuật nội soi ổ bụng thám sát, vừa dẫn lưu ổ áp xe, vừa tìm và lấy dị vật.
Trong quá trình mổ, các bác sĩ ghi nhận một ổ áp xe khoảng 8 cm chứa nhiều mủ vùng hạ vị. Bất ngờ, một dị vật là xương cá dài khoảng 4 cm được phát hiện xuyên thủng thành ruột, di chuyển ra ngoài và trở thành nguyên nhân gây ổ áp xe. Dị vật được lấy ra an toàn, ổ áp xe được phá và rửa sạch.

Sau mổ, người bệnh được điều trị kháng sinh tích cực, tình trạng hồi phục tốt, ăn uống trở lại bình thường và được xuất viện trong vòng 7 ngày.
Bài học từ ca bệnh
Các bác sĩ cho biết, nuốt phải xương cá tưởng chừng chỉ gây xước niêm mạc họng, nhưng trong một số trường hợp hiếm gặp, dị vật có thể xuyên thủng đường tiêu hóa, di chuyển vào ổ bụng và gây áp xe. Đây là biến chứng nguy hiểm, dễ dẫn đến viêm phúc mạc, nhiễm trùng huyết nếu không được chẩn đoán và xử trí kịp thời.
Lời khuyên cho cộng đồng
- Cẩn trọng khi ăn cá, nhất là người lớn tuổi và trẻ nhỏ.
- Khi nghi ngờ nuốt phải xương cá, không nên tự chữa mẹo (nuốt cơm, rau…) vì dễ làm dị vật đâm sâu hơn.
- Nếu có dấu hiệu đau bụng bất thường, sốt kéo dài, cần đến cơ sở y tế để được thăm khám.