Khoa Cấp cứu Bệnh viện Nhân dân 115 tiếp nhận một cô gái trẻ trong tình trạng hôn mê, huyết áp tụt sâu, sau đó nhanh chóng diễn tiến ngưng tuần hoàn hô hấp. Ngay lập tức, quy trình cấp cứu được khởi động: ép tim, đặt nội khí quản, thở máy, thuốc vận mạch, người bệnh diễn tiến rung thất phải sốc điện nhiều lần. Sau 20 phút hồi sinh tim phổi nâng cao, tim người bệnh đập lại, nhưng yếu ớt, huyết áp không đo được, cơ hội cứu sống người bệnh thật mong manh.
Khai thác nhanh bệnh sử người bệnh từ người bạn đi cùng ghi nhận thêm vài thông tin ít ỏi. Người bệnh 25 tuổi, là nhân viên văn phòng, sống một mình tại phòng trọ, thường hút thuốc lá điện tử, không có dấu hiệu nghi ngờ tự tử và ngoài ra không có thông tin gì thêm. Trước đó 2 ngày người bệnh xuất hiện triệu chứng mệt, lú lẫn đã được khám tại Bệnh viện tuyến trước, các chỉ số xét nghiệm đều trong giới hạn bình thường. Người bệnh được yêu cầu nhập viện vì tình trạng lú lẫn nhưng không đồng ý. Về nhà người bệnh diễn tiến mệt nhiều hơn và ngất nên được đưa đến Bệnh viện Nhân dân 115.
Cuộc chiến dành lại sự sống không có chỗ cho do dự
Trước nguy cơ tử vong rất cao, một quyết định nhanh chóng được ra “Huy động toàn lực thực hiện ECMO ngay”
Đội ECMO đã sẵn sàng bao gồm 4 bác sĩ (Ths.BS. Nguyễn Hữu Tín, BSCK1. Vũ Phan Anh Tuấn, BSCK1. Phạm Mai Hưng và BS. Võ Hoài Quyên). Trong lúc chuẩn bị thực hiện, tim người bệnh lại ngừng đập, một mệnh lệnh được đưa ra “Vừa ép tim, vừa làm ECMO”. Một êkíp đang ở nhà cũng được huy động cũng nhanh chóng có mặt va kỹ thuật ECMO đã thực hiện thành công với thời gian ngắn nhất có thể.
Trong suốt quá trình thực hiện ECMO nhiều lần tim người bệnh tiếp tục ngừng đập, đồng tử dãn 4-5 mm, không một chút phản xạ. Hệ thống ECMO vẫn đang vận hành tốt, các thuốc vận mạch đã sử dụng đến liều tối đa nhưng đường biểu diễn huyết áp động mạch vẫn chỉ là một đường thẳng điều này cho thấy tim người bệnh gần như không còn co bóp nữa và sự sống của người bệnh hoàn toàn phụ thuộc vào dòng ECMO. Với y học, cuộc sống người bệnh dừng lại là điều dễ hiểu nhưng với các y bác sĩ hồi sức luôn đứng giữa lằn ranh giành giật sinh tử, đó lại không phải là lúc để đầu hàng.
Hàng giờ đồng hồ trôi qua, trái tim bé bỏng của người bệnh vẫn không chút lay động trên màn hình siêu âm POCUS tại giường, niềm hy vọng mong manh cạn dần.
Nhưng rồi điều kỳ diệu đã đến. Trái tim của người bệnh sau nhiều giờ ngủ yên đã tỉnh giấc. Từng nhịp, từng nhịp đập, sự sống đã được níu giữ. Chúng tôi vỡ òa hạnh phúc trong niềm hy vọng về một phép màu.
Tuy nhiên, mọi chuyện chưa dừng lại ở đó….
Cuộc chiến với tử thần lần 2
Khi mà tình trạng của người bệnh tạm ổn định với sự hỗ trợ của hệ thống ECMO, lọc máu liên tục và một loạt các thuốc tối ưu được sử dụng, một cuộc truy tìm nguyên nhân dẫn đến ngừng tim trên cô gái trẻ này vẫn hoàn toàn là một câu chuyện bí ẩn và gặp nhiều khó khăn do người bệnh vẫn trong tình trạng hôn mê sâu và không có người thân sống chung. Nhiều cuộc hội chẩn, định hướng nguyên nhân, hàng loạt các xét nghiệm chuyên sâu đã thực hiện, kể cả truy tìm độc chất đều chưa phát hiện ra nguyên nhân gây tình trạng của người bệnh.
Trong quá trình hồi sức và truy tìm nguyên nhân, người bệnh bắt đầu xuất hiện dấu hiệu mất máu cấp. Các chỉ số hồng cầu, Hemoglobin máu có lúc chỉ còn 5.5 g/dL. Vấn đề khó khăn nhất lúc này là tìm nguyên nhân chảy máu cũng như bù máu khối lượng lớn cho người bệnh trong một hoàn cảnh vô cùng khắc nghiệt: người bệnh có nhóm máu A Rh (-) đây là nhóm máu cực kỳ hiếm gặp.
Một mệnh lệnh được đưa ra “Nhanh chóng liên hệ Bệnh viện truyền máu huyết học hỗ trợ ưu tiên cung cấp máu khẩn, song song đó huy động người có cùng nhóm máu với người bệnh từ người nhà và toàn thể nhân viên bệnh viện”. Nhờ có sự phối hợp kịp thời của Bệnh viện truyền máu và huyết học đã huy động nhiều người đã tham gia hiến máu, trong đó có một nhân viên của Bệnh viện cũng đã sẵn sàng tiếp máu cho người bệnh khi cần thiết.

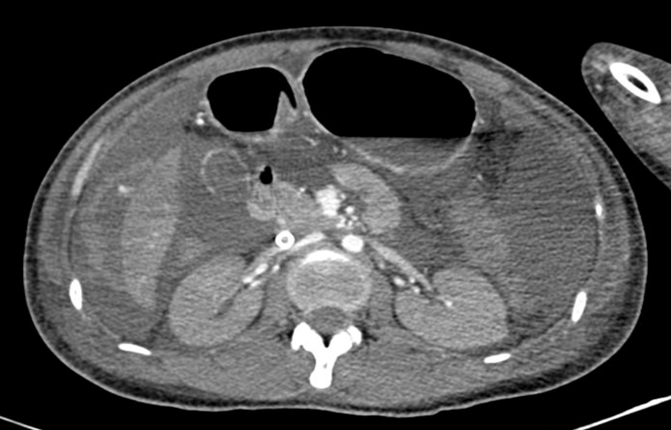
Hình 1. Dịch ổ bụng lượng nhiều, nghi ngờ chảy máu ổ bụng trên phim chụp cắt lớp vi tính
Bên cạnh việc truyền máu tích cực, việc tìm nguyên nhân chảy máu là một vấn đề cấp bách được đặt ra, nếu không bao nhiêu lượng máu hiếm quý như vàng lại tiếp tục chảy ra. Hình ảnh trên siêu âm cũng như chụp cắt lớp cho thấy dịch ổ bụng lượng nhiều, nghi ngờ có máu trong ổ bụng. Người bệnh sau đó được nhanh chóng chuyển lên phòng mổ kèm theo hệ thống ECMO để can thiệp nội soi ổ bụng cấp cứu dưới sự thực hiện của BS. CKII Phan Lương Huy khoa Ngoại tổng quát. Nhờ sự can thiệp kịp thời và chính xác, ổ chảy máu được xác định nằm ở phân thùy VI của gan nhanh chóng được can thiệp đốt cầm máu, ca phẫu thuật bước đầu đã thành công.

Hình 3. Ổ chảy máu tại phân thùy VI gan phát hiện trên nội soi ổ bụng (mũi tên)
Và sự sống đã trở lại
Tình trạng xuất huyết sau đó nhanh chóng ổn định. Hemoglobin được theo dõi sát sau đó không ghi nhận tụt giảm thêm. Huyết động người bệnh dần cải thiện hơn và ngưng được ECMO sau hơn 1 tuần nhập viện. Người bệnh sau đó tỉnh táo, chức năng các cơ quan như gan, thận, tri giác… cải thiện rõ rệt, cai được máy thở và rút nội khí quản, chưa ghi nhận các di chứng thần kinh mặc dù trước đó bệnh nhân có ngưng tuần hoàn hô hấp nhiều lần. Tuy nhiên tình trạng người bệnh chưa cho phép chúng tôi khai thác rõ ràng hơn về những chất mà người bệnh đã sử dụng trước đó, hy vọng trong những ngày sắp tới khi mà tinh thần người bệnh ổn định hơn mọi chuyện sẽ được sáng tỏ.

Hình 3. Người bệnh cùng team ECMO khoa Hồi sức tích cực – Chống độc
Từ ca bệnh này một lần nữa cũng là lời nhắc nhở cho những ai đang khoác trên mình chiếc áo blouse trắng: “Chúng ta không chỉ mang trên vai kiến thức và kỹ năng y khoa vững vàng, mà còn mang theo niềm tin và sự sống của người bệnh. Hãy nỗ lực hết mình trong từng ca trực, từng lần chẩn đoán, từng quyết định điều trị – như thể chúng ta đang chăm sóc chính người thân yêu nhất của mình. Bởi lẽ, với người bệnh trong tình trạng thập tử nhất sinh, chúng ta chính là niềm hy vọng cuối cùng của họ.”
BS. CKII. CAO HOÀI TUẤN ANH